Нам прислали удивительную статью, мимо которой мы просто никак не можем пройти! Каждый человек просто обязан прочесть ее, независимо от того, есть у него диабет или нет.
Итак, диабет 1 типа, что это? Лирически о научном.
В нашем теле есть орган, который весит около грамма. Лишь грамм, но без него не жить. За год этот орган отказывает примерно у 1,5 тысяч беларусов, общее количество заболевших приблизилось к 20 тысячам. Такого никогда не было, а врачи говорят об эпидемии. Что происходит?
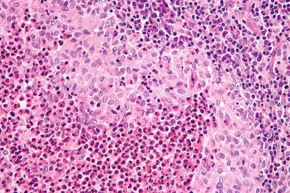
В хвосте поджелудочной железы человека, словно островки в океане, разбросаны крошечные скопления особых клеток. Эти скопления и выглядят как островки, и названы так — островки Лангерганса, по имени берлинского врача, рассмотревшего их под микроскопом полтора века назад. По слогам: Лан-гер-гáнс.
Общая масса островков Лангерганса — около грамма, но это важнейший эндокринный орган, секретирующий пять жизненно необходимых гормонов, среди которых — инсулин. Insula, в переводе с латыни, означает «остров»; молекулы инсулина можно вообразить как островитян с тех самых островков Лангерганса.
Отправляясь в путь по организму, «островитяне» эти с Божественной точностью регулируют концентрацию глюкозы в крови, а глюкоза питает клетки тканей; она — основной источник энергии всех живых существ на Земле. Без инсулина глюкоза не будет усвоена, а не будучи усвоенной, в излишке, станет ядом.

Инсулин отворяет клеточные мембраны, глюкоза проникает в клетки и потребляется ими, её уровень в крови снижается до нормы. При недостатке же инсулина мембраны прикрыты, ткани голодают, а неиспользованная глюкоза в крови собирается до критического уровня и, вместе с образующимся ацетоном, разрушает организм.
Представьте себе, что островки Лангерганса вдруг стали необитаемыми. Бета-клетки, продуцирующие инсулин, почему-то погибли, «островитян» не стало. Это смертельная ситуация, у больного есть несколько дней, возможно, неделя. Но около 20 тыс. человек в Беларуси и до 20 млн. в мире держатся годами. Как?
Оказывается, если нет своего инсулина, можно вколоть чужой. Но сколько? Введёшь мало → гипергликемия → нарастающий подрыв нервов и сосудов, повреждение зрения, почечная недостаточность; введёшь много или промажешь, уколóв вместо подкожной прослойки в мышцу → стремительная гипогликемия, кома...
Гипергликемия — избыток глюкозы в крови; гипогликемия — её недостаток. Оба состояния потенциально летальны. Между ними — норма — жизнь продолжается. Помните типичный, стрессующий зрителя, момент в фильмах, когда герой, обезвреживая мину, должен выбрать между двумя проводами — красным и синим?
Человек, у которого отказали островки Лангерганса, перманентно, днём и ночью, пребывает в таком стрессе — ошибиться нельзя! Но если герой в фильме, выбирая провод, просто гадает и ему везёт, то наш герой, дозируя инсулин, должен не гадать, а быстро (счёт на минуты) решать уравнения с несколькими переменными.
Многие из нас, зевая на уроках математики, думали: вряд ли это мне когда-то пригодится. А кому-то, вот, математика не просто пригодилась, а стала необходима, чтобы не умереть. И зевать не получится. И урок не прогулять. И «двойка в журнал» равнозначна приговору. Всегда у доски. Считай, считай... Чтобы жить.

Проблема ещё в том, что почти все заболевшие — дети. За них считают родители. Несколько дней могут посчитать врачи — больше не положено, учись сам. Какие-то моменты можно облегчить с помощью приложений/программ, приборов и систем, если хватает средств на их покупку (об этом ниже).
Божественная точность здорового углеводного обмена — не преувеличение. Наука, имея в распоряжении суперкомпьютеры, искусственный интеллект, миллиардные бюджеты, пока не может воспроизвести естественные алгоритмы подачи инсулина. Имеющиеся знания — уровень спасающего костыля.
Инсулин — самый исследованный гормон. Инсулинотерапии скоро 100 лет. Однако без подсчётов «вручную» всё ещё не обойтись. Говорят, есть уже квантовый телефон. Но нет пока гаджета, который повторил бы автоматически инсулин-продуцирующую функцию поджелудочной железы. А что же есть?

Из продвинутого и дорогого:
1) системы непрерывного мониторинга уровня глюкозы с подкожным сенсором;
2) системы подачи инсулина частыми микродозами с подкожным катетером;
3) прототипы, интегрирующие обе системы под претенциозным и некорректным названием «искуственная поджелудочная железа».
Из доступного:
1) глюкометры с тест-полосками и ланцетами для забора крови;
2) обычные шприцы и слегка упрощающие инъекцию шприцы-ручки с ампулами инсулина.
Поёживаетесь, думая об анализе крови из пальца и об уколах в живот? А для кого-то это обыденность, многократный в течение суток ритуал.
Пальцы прокалывать приходится часто: перед каждым приёмом пищи и после, на ночь, ночью — выходит раз 10. Это минимум, если «сахарá» «послушные». Но при физических и умственных нагрузках, в пубертате и при простуде расход глюкозы предсказать трудно, поэтому количество замеров может удвоиться.
10 анализов в сутки, 20... Исколотые подушечки постепенно теряют чувствительность. «Сладкие» люди говорят, что уже не больно. Инъекции — больнее, но терпимо. Потерпеть надо 6-8 раз в сутки. Подкожная жировая клетчатка в местах травмирования может грубеть, деформироваться, это называется липодистрофией.
Почему эти люди «сладкие»? Потому что болезнь их по симптому — повышенному «сахару» в крови и моче — называется сахарным диабетом или, с латыни — диабетом медовым (diabetes mellītus). «Диабайно» — греческое слово, означает «протекаю», «прохожу сквозь». Что имели ввиду греки?
Согласно древним представлениям, сквозь диабетика без задержки протекала любая жидкость. Сколько бы он ни выпил — всё тут же выходило с мочой (полиурия), несчастного изнуряла неутолимая жажда. Если моча была сладкой — диабет сахарный, несладкой — несахарный (например, несахарный почечный).

Несахарных диабетов — пять. Сахарных — тоже пять, они собраны в два типа: 1-го типа (T1D) — разрушены β-клетки поджелудочной железы, не продуцируется инсулин; 2-го типа (T2D) — инсулин продуцируется, но мембраны клеток в тканях воспринимают его ограниченно, сопротивляются (инсулинорезистентность).
Сахарный диабет 2-го типа ассоциирован с ожирением, злоупотреблением рафинированными продуктами, малоподвижным образом жизни; его называют бичом современности. А бичом для диабетиков 1-го типа является перенос на них представлений о причинах возникновения заболевания с диабетиков 2-го типа.
Между тем, природа T1D и T2D крайне разная. T1D — заболевание аутоимунное с преимущественно неясной этиологией, неизвестно, как его избегать; T2D — заболевание метаболическое с в основном понятной этиологией, как его избегать — известно.
Почему же гибнут инсулоциты (β-клетки) в островках Лангерганса? Их, «сойдя с ума», атакует иммунная система. С высокой вероятностью, триггерами этого сбоя, на фоне генетической предрасположенности, являются факторы окружающей среды: вирусы, токсины. Отмечена статистическая связь T1D с питанием грудных детей продуктами из коровьего молока.
Обобщение T1D и T2D в бытовом восприятии — досаждающая проблема для людей с T1D, ведь T2D — обычно, болезнь образа жизни, её профилактика — здоровое питание/ЗОЖ. А профилактики T1D не существует, это фатальное стечение неразгаданных причин.
Приходится терпеть негативные намёки, укоры, объяснять и даже оправдываться.
Скорее нет, чем да. Аутоимунные болезни запускаются в неизвестный момент неизвестной комбинацией нескольких «кнопок»: например, «стресс + грипп + молоко», «токсин + наследственность + антибиотик», «вакцина + витамины + беременность» и другие гипотетические варианты.

Обойдя защиту, «хакер» может и не вскрыться, а затаиться на годы, перейти потомству. Больные и их близкие, озираясь назад, отматывая события, вдумываясь, копаясь в происшедшем, предполагают, догадываться о чём-то, но их выводы, как и гипотезы исследователей, просто подвергнуть сомнению.
Однако известны агенты, которые, попав в организм, точно разрушат β-клетки и вызовут T1D. Например, лекарственные препараты стрептозоцин, пентамидин, крысиные яды пиринурон, пириминил, вакор. Их опасность доказана, но производство и использование в некоторых странах продолжается!
Источник: karcau.tilda.ws
Діабетична аптечка (онлайн версія) від 6 жовтня 2025
Читати номер
Ви не авторизовані
Ирина Река